ORTHODENT STL CAD Design Library

3D プリント用 STL データとCADモデリングデータの一覧

CADデータはRhinoceros8形式で保存されています。

2025年12月04日仮にアップロード

isaku

2025/12/04

3D関連の全データがここから

ここはデジタル関連の仕事のデータがダウンロードできるホームページです。クライアントから受け取った時のデータ、作業中のデータ、完成のデータ、3D出力印刷用スライスデータ、指示書、CT画像のデータ、など、このサイトに来ればなんでもある!というページです。

STL Model

2025/12/04

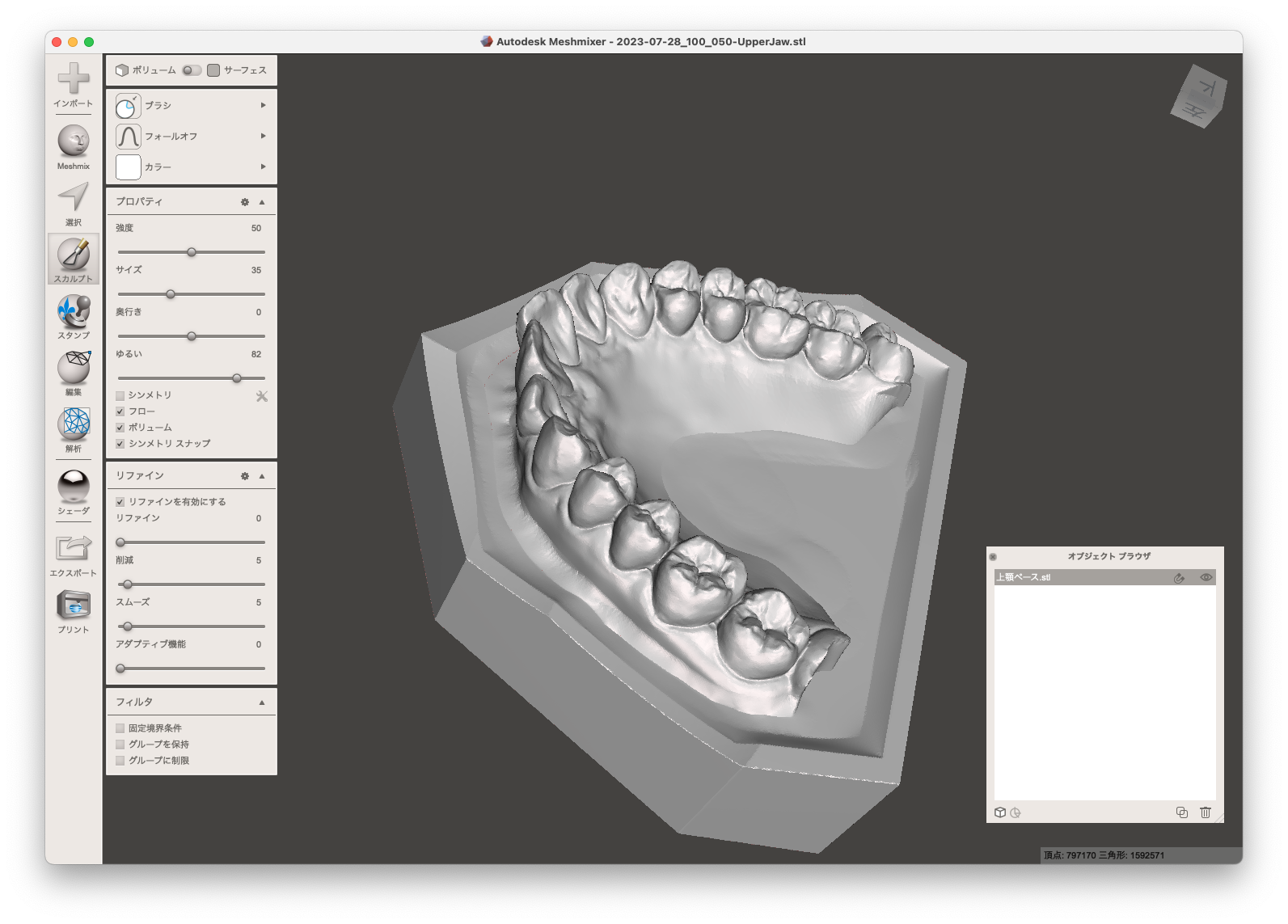
MeshMixer練習用データ

iOSスキャナで採られたデータを3Dプリントできる形状へと、整える為の練習用STLデータです。Let'sチャレンジ!

上顎STLをダウンロード 下顎STLをダウンロード
STL Model

2025/12/04

新宅先生より受け取ったSTL

㊤㊦顎のデータと、咬合したデータと、DICOMデータは426個の画像が入っているのでzip圧縮されて保存されていました。予定していた納期が2日短くなりました!制作日数に注意です。

指示書をダウンロード 上顎STLをダウンロード 下顎STLをダウンロード 咬合位STLをダウンロード CTデータをダウンロード スプリントSTLデータをダウンロード スプリント(㊤㊦顎)データをダウンロード
STL Model

2025/12/03

プチ・ラミのTESTデータ

0.2mm〜1.0mmまで5種類作ってあります。0.2mmと0.4mmあたりは薄すぎてサポート柱からカットする段階で割れてしまうと思います。0.6mmよりも厚い方が実用的かもしれません。

0.2mm厚STLをダウンロード 0.4mm厚STLをダウンロード 0.6mm厚STLをダウンロード 0.8mm厚STLをダウンロード 1.0mm厚STLをダウンロード 歯型のSTLをダウンロード
STL Model

2025/11/19

GOSI矯正歯科

ミニインプラントを使ったメタルバンドと急速拡大スクリューを使う拡大装置CAD作業

STLをダウンロード
STL Model

2025/11/31

◼️◼️矯正歯科

前歯部インダイレクトコアの3D造形相談案件

STLをダウンロード
STL Model

2025/11/31

◼️◼️矯正歯科

3M社のブラケットを3Dデータ化する依頼。

STLをダウンロード
STL Model

2025/11/19

本郷3丁目矯正歯科

メタルバンドの制作依頼です。

STLをダウンロード
STL Model

2025/11/19

自社開発

ボールクラスプに替わる、3Dプリントのみで成立する維持を持たせる為の凸の開発。

STLをダウンロード
STL Model

2025/11/19

自社開発

某社ミニインプラントの測定と、3Dデータ化

STLをダウンロード
STL Model

2025/11/19

自社開発

粗いポリゴンメッシュ面から滑らかな歯頸ラインの切り抜き方のプログラミング開発。

STLをダウンロード
STL Model

2025/11/19

自社開発

バイオデント社のスクリュードライバーを使った、正確な位置合わせ〜ステントの制作依頼。

STLをダウンロード
STL Model

2025/11/19

自社開発

口蓋にインプラントを植立して左右の6番間を固定する装置のモデリング。> STLをダウンロード

STL Model

2025/11/19

ORTHODENT TOKYO

新型STロックの開発。メタルバンドに取り付けする新型のSTロックのモデリング。

STLをダウンロード
STL Model

2025/11/19

本郷3丁目矯正歯科

ブラケットを挟むタイプのインダイレクトコアの案。UFOキャッチャー式のアームを左右に付けたデザインのデータを作りました。

STLをダウンロード
STL Model

2025/11/19

YMOT International

某社売り上げNo.1の咬合器を3D化して、exocadのライブラリーに収録する為のモデリング依頼です。

STLをダウンロード
0 STL Model

2025/11/19

本郷3丁目矯正歯科

DICOMデータより、下顎のデータのみを取り出し、3DプリントできるようにSTL化する依頼です。

STLをダウンロード
STL Model

2025/11/19

東京医療大学歯学部

CTのDICOMデータとiOSスキャナのSTLデータを合体させる依頼です。

STLをダウンロード
STL Model

2025/11/19

自社開発

どんな汚い石膏模型でも、3Dにかかれば、一発で平行模型の形にしてくれるヤツ・・・の開発

STLをダウンロード
STL Model

2025/11/19

自社開発

MeshMixerで平行模型の継ぎ目を処理する段階のデータです。

STLをダウンロード
STL Model

2025/11/19

自社開発

簡単な蝶番運動の咬合器をモデリングしてみた。

STLをダウンロード
STL Model

2025/12/05

CADマニュアル「スプリント編」

CADを使い、スプリントを作るための工程をまとめてあります。

CAD操作マニュアルをダウンロード
STL Model

2025/12/05

CADマニュアル「メタル造形編」

CADを使い、メタル系技工物を作るための工程をまとめてあります。

CAD操作マニュアルをダウンロード
STL Model

2025/12/05

笹川矯正のスプリント

手術2回分の、スプリントを。今回は3Dデータで、3Dプリントしたものに挑戦。

手術1回目用STLをダウンロード 手術2回目用STLをダウンロード ㊤㊦の模型STLをダウンロード

CADのデータをダウンロード

スライス済をダウンロード

詳細ページに移動